作者:武汉医师协会超声医师分会 武汉市中心医院超声诊断科 余芬 郑晶晶 吕龙
头痛,关心脏什么事?
年轻的乔女士最近有点烦,时不时发作的头痛虽然不是很剧烈,但很影响正常工作生活。去医院看病,医生建议她检查心脏。头痛,关心脏什么事?乔女士很不理解。结果心脏彩超检查还真的有问题:房间隔膨出瘤。——这是什么毛病?心脏长肿瘤了吗?
“房间隔膨出瘤” 是什么?顾名思义,是房间隔向心房的囊袋样膨出,像瘤子一样,但并不是我们通常所说的肿瘤或者癌症。在过去认为是一种少见的先天性心脏发育异常,随着医学影像技术的进步,目前发现房间隔膨出瘤越来越常见了,在新生儿中的患病率约为7.6%,在成人中的患病率约1.9%~10%[1-2]。

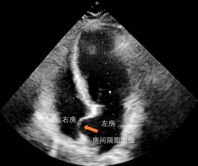
经胸超声心动图下的房间隔膨出瘤
房间隔膨出瘤是天生的吗?部分房间隔膨出瘤是先天的,称为原发性房间隔膨出瘤,是一种先天性房间隔发育异常;部分房间隔膨出瘤是后天形成的,称为继发性房间隔膨出瘤,是由于各种原因譬如重度肺动脉高压、肺栓塞或手术导致一侧心房压力增高或房间隔松弛,或是退行性变等原因所致。
房间隔膨出瘤有什么风险?房间隔膨出瘤和血栓、隐源性卒中、偏头痛、心律失常相关。研究表明,大约50%的房间隔膨出瘤患者发生过脑血管意外或短暂性脑缺血发作。约 16%~25%的房间隔膨出瘤患者伴有房性心律失常[3]。约有44%的房间隔膨出瘤合并卵圆孔未闭,而卵圆孔未闭则与隐源性卒中以及偏头痛密切相关[4]。上文中的乔女士就有可能是这个情况。
房间隔膨出瘤怎么治疗?孤立的、不复杂的房间隔膨出瘤通常不需要特殊治疗,只需要对患者做定期随访。若瘤体较大,或伴有其他复杂心脏结构改变的房间隔膨出瘤则需要介入或手术治疗。
房间隔膨出瘤是如何发现的?超声心动图是诊断房间隔膨出瘤最简便可靠的方法,能显示瘤体的位置、大小情况,经食管超声心动图是检查是否合并卵圆孔未闭的金标准。此外,计算机断层扫描、心脏磁共振以及心腔内超声、心脏血管造影也可诊断出该疾病。

经食道超声心动图下的房间隔膨出瘤及卵圆孔未闭
参考文献:
Yetkin E, Atalay H, Ileri M. Atrial septal aneurysm: Prevalence and covariates in adults. Int J Cardio,2016,223(08):656-659.
Giannopoulos A, Gavras C, Sarioglou S, et al. Atrial septal aneurysms in childhood: prevalence, classification, and concurrent abnormalities. Cardiol Young,2014;24(3):453-458.
Cho K, Feneley M,Holloway C. Atrial septal aneurysms – A clinically relevant enigma? Heart lung Circ, 2022, 31(1): 17-24.
Ueno Y. Editorial commentary: Atrial septal aneurysm as a risk factor for ischemic stroke with patent foramen ovale. Trends Cardiovasc Med. 2023 Aug;33(6):334-335.
本文章归武汉医师协会版权所有,转载请注明出处:https://www.whysxh.com/knowledge/6417.html